Composite Fillings
What are Composite Fillings?
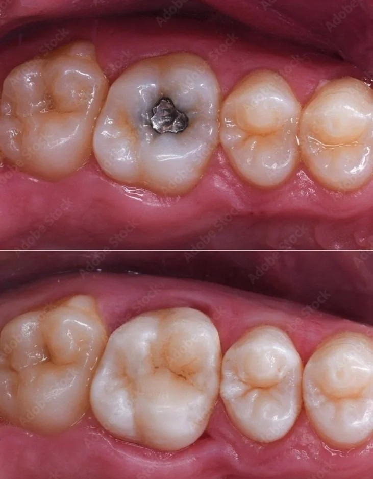
Composite fillings are dental restorations made from a mixture of fine glass or quartz particles and a resin-based material. Unlike traditional silver (amalgam) fillings, composite fillings are designed to match the color and texture of your natural teeth, making them virtually invisible once placed. They are commonly used to fill cavities, repair chipped or cracked teeth, and restore teeth affected by decay.
Benefits of Composite Fillings
Composite fillings offer several advantages, making them an excellent choice for many patients:
- Natural Appearance: Composite fillings are color-matched to your natural teeth, providing a seamless and aesthetically pleasing restoration. This makes them ideal for visible areas of your smile. 
- Durability and Strength: Composite fillings are strong and durable, capable of withstanding the forces of normal biting and chewing. They bond directly to the tooth structure, which helps to strengthen the tooth and prevent further damage. 
- Conservative Treatment: Composite fillings require less removal of the natural tooth structure compared to traditional amalgam fillings. This means more of your healthy tooth is preserved, contributing to long-term dental health. 
- Versatility: Composite fillings can be used to repair a variety of dental issues, including cavities, chipped teeth, and minor fractures, providing a versatile solution for many restorative needs. 
- Mercury-Free: Unlike amalgam fillings, composite fillings are mercury-free, making them a safer option for patients concerned about potential health risks associated with mercury exposure. 
FAQs
- 
      
        
          
        
      
      - Initial Consultation and Assessment: Your journey to a healthier smile begins with a comprehensive consultation with Dr. Muecke. During this visit, we will evaluate your oral health, discuss your symptoms, and determine if a composite filling is the best option for you. X-rays may be taken to assess the extent of decay or damage to your teeth. 
- Tooth Preparation: Once it is determined that a composite filling is needed, the tooth is prepared by removing the decayed or damaged portion. This is done with minimal removal of healthy tooth structure to preserve as much of the natural tooth as possible. 
- Placement of the Composite Filling: After the tooth is prepared, the composite resin is carefully placed in layers, with each layer being cured or hardened using a special light. This process ensures a strong bond between the filling material and the tooth. 
- Shaping and Polishing: Once all layers of the composite resin have been placed and cured, the filling is shaped to match the natural contours of your tooth. Dr. Muecke will then polish the filling to achieve a smooth, natural-looking finish that blends seamlessly with your surrounding teeth. 
 
- 
      
        
      
      To maintain the longevity of your composite fillings and ensure overall oral health, follow these care tips: - Practice Good Oral Hygiene: Brush your teeth at least twice a day with fluoride toothpaste and floss daily to prevent plaque buildup and decay around your fillings. 
- Regular Dental Check-ups: Schedule regular visits to Northgate Station Dental for professional cleanings and exams to monitor the condition of your fillings and overall oral health. 
- Avoid Hard Foods: To prevent chipping or cracking your composite fillings, avoid chewing on hard objects like ice or using your teeth to open packages. 
- Limit Staining Foods and Beverages: While composite fillings are resistant to staining, excessive consumption of coffee, tea, red wine, or tobacco can cause discoloration over time. 
 
Are Composite Fillings Right for You?
Composite fillings are an excellent choice for many patients due to their aesthetic appeal and durability. They are particularly beneficial for those looking for a natural-looking alternative to traditional silver fillings. During your consultation at Northgate Station Dental, Dr. Muecke will evaluate your specific needs and help determine if composite fillings are the best solution for your dental restoration.
 
                        